AI IN ORTHODONTICS: TRANSFORMING THE FIELD IN 2025
Artificial Intelligence (AI) is revolutionizing orthodontics by enhancing diagnostic accuracy, treatment planning efficiency, predictive outcomes, and patient care. Powered by machine learning, deep learning, and vast datasets from millions of cases, AI tools automate repetitive tasks, reduce human error, and enable highly personalized treatments. As of late 2025, AI adoption is accelerating, with major advancements from companies like Align Technology and others.
Key Applications of AI in Orthodontics
1. Automated Diagnosis and Image Analysis
- AI excels at cephalometric landmark detection on X-rays, achieving accuracies often comparable to or exceeding manual methods (up to 95-99% in studies).
- Tools analyze CBCT scans for root position, bone levels, and pathologies like airway obstruction or root resorption.
- Growth prediction: Systems like ARNet-v2 use cervical vertebrae from routine X-rays to forecast pubertal growth peaks accurately.

Photo By Dr Ahmad Al-Hassiny https://instituteofdigitaldentistry.com/author/ahmad/
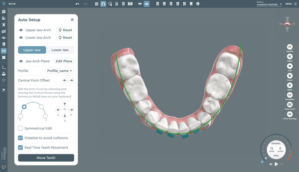
2. Treatment Planning and Simulation
- AI generates personalized plans, predicts tooth movement, and optimizes aligner/braces design.
- In 2025, Align Technology's ClinCheck Live Plan automates initial Invisalign plans in minutes (down from days), using AI for doctor-ready simulations.
- Other tools like SoftSmile's VISION software use AI for auto-setup and staging.

Photo from softsmile.com
3. Outcome Prediction and Monitoring
- AI simulates before-and-after smiles, predicts treatment duration (shortening by up to 30% in some cases), and monitors progress via apps.
- Remote monitoring with AI assesses aligner fit and alerts for adjustments.

Photo by Romexis® Ortho Simulator
4. Emerging Concepts: Robotics and Beyond
- Conceptual AI-driven robots for precise tasks like bracket placement are in development, promising consistency and reduced chair time.

Photo by www.oralhealthgroup.com
Benefits and Impact
- Efficiency: Reduces planning time significantly; AI handles complex calculations instantly.
- Accuracy: Minimizes variability; studies show AI outperforming humans in landmark detection and segmentation.
- Personalization: Tailors plans using data from similar cases.
- Patient Experience: Faster starts, better predictions, and engaging visualizations boost compliance and satisfaction.
Challenges and Future Outlook
While AI enhances care, it augments—not replaces—orthodontists. Limitations include data bias, need for clinician oversight, and regulatory hurdles. In 2025 and beyond, expect deeper integration: predictive robotics, real-time 3D printing, and tele-orthodontics.